
近日,我院微创介入科成功位一名高龄肝癌复发患者进行了介入治疗。患者71岁,肝癌病史3年,乙肝肝硬化病史22年,2022年经腹部增强CT确诊为肝癌,由我院微创介入团队行TACE术成功治疗;2023年肿瘤复发再次行TACE术治疗。近日门诊复查腹部增强CT显示:肝硬化、肝S6段复发灶;AFP 16.22IU/mL;异常凝血酶原348.48mAu/mL。肝功、凝血四项、血细胞等均正常。考虑肿瘤复发,遂入院治疗。



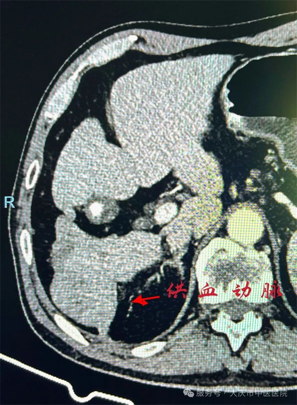
院微创介入团队结合检查结果术前充分评估,考虑患者由于多次介入后,肿瘤血供已经发生异位供血(右侧肾动脉供血)。再次通过微创介入精准施治,历时两个半小时,在局麻下为患者进行了精细TACE术。术后行C臂CT验证,肿瘤栓塞精准,无并发症发生。

微创介入科主任付朝军提示:肝癌是指发生于肝脏的恶性肿瘤,包括原发性肝癌和转移性肝癌两种,我们日常说的肝癌指的多是原发性肝癌。原发性肝癌包括肝细胞癌(HCC)、肝内胆管癌(ICC)和混合型肝细胞癌(胆管癌)。我国绝大多数原发性肝癌是肝细胞癌,也就是我们通常说的肝癌。
流行病学常道:肝是哑巴,胃是喇叭。肝癌发病隐匿,发现时常常已是中晚期,错失手术根治机会。据统计,2022年全国原发性肝癌发病人数36.77万例,在各类癌症新发病人数中位居第4(肺癌、结直肠癌、甲状腺癌、肝癌);发病率位列第5(肺癌、女性乳腺癌、甲状腺癌、结直肠癌、肝癌);因原发性肝癌致死31.65万例,仅次于肺癌,位居第2。
临床表现
1.肝区疼痛:是最常见、最主要的症状,约半数以上的患者以此为首发症状。
2.消化系统症状:表现为食欲减退、恶心、呕吐、腹胀、腹泻等。
3.出血倾向:如牙龈出血、皮肤瘀斑,或出现黑便、呕血等消化道出血症状。
4.全身症状:早期一般无特异性表现,可有原因不明的持续性低热或不规则发热,可高达39℃,其特点是抗生素治疗无效,而非甾体类退热药如吲哚美辛退热效果明显;晚期体重呈进行性下降,可伴有贫血、浮肿、黄疸、腹水等恶病质表现。
治疗方法
手术切除:对于早期肝癌,首选手术根治,但是在我国,早期肝癌发现率非常低。
介入治疗:肝癌病人发现时多为中晚期,往往错过了根治的最佳时机,加之80%的患者伴有肝硬化,肝功能不全、腹水、凝血机制不良等症状,大大限制了手术切除的可能性。而肝移植技术复杂、肝源有限、移植后长期服用服抗排药物,费用昂贵,且易产生并发症。目前世界范围内的肝癌治疗指南都在推崇介入治疗。
介入治疗常用的方法有:肝动脉化疗栓塞术、肝动脉药物灌注术、持续肝动脉化疗灌注术、粒子植入术、射频消融术、无水酒精注射。此外还有靶向药物、免疫药物、中医药等。
介入治疗的优势
1、介入治疗双管齐下,一方面采用局部用药,毒性较全身化疗小,一方面可以阻断肿瘤血供;
2、肝癌介入治疗操作简单易行,安全可靠;
3、疗效确切,治疗成功者可见到AFP迅速下降,肿块缩小,疼痛减轻等;
4、诊断造影清晰,可以重复进行,便于多次对比;
5、介入治疗费用相对比较低;
6、年老体弱及有某些疾病者也可进行,不须全麻,保持清醒。
供稿:门诊党总支/微创介入科/付朝军
编辑:宣传科